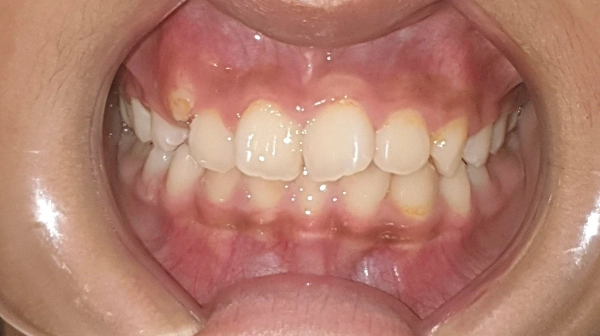
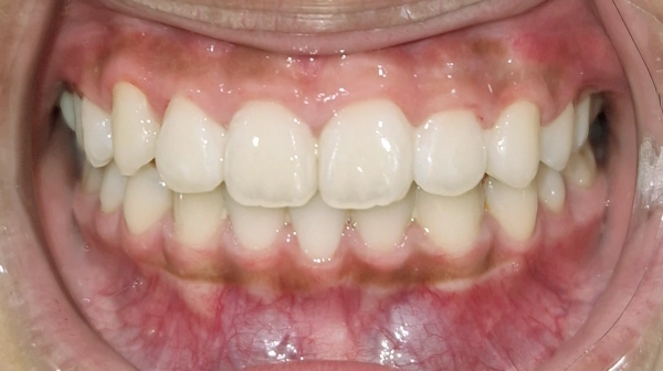
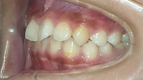
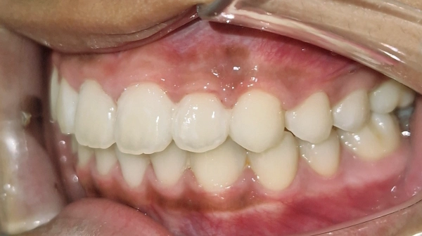
Caso Clínico - Invisalign Teen

En este caso, nuestro paciente ha precisado de un tratamiento de Invisalign Teen que destaca por ser la ortodoncia más cómoda y estética para nuestros hijos.
Gracias a este tipo de ortodoncia removible formada por alineadores transparentes, la sonrisa de Manuel ha quedado totalmente equilibrada y armónica. ¡Este es el resultado final!


ANTES
DESPUÉS
Ventajas de elegir Raga Ortodoncia
- Más de 50 años dedicados al mundo de la ortodoncia
- Enfoque multidisciplinar de los tratamientos
- Tecnología de vanguardia y aparatología dental de última generación
- Somos la clínica mejor valorada de toda Valencia