Caso Clínico - Brackets

Paciente
Adulto
Duración
20 meses
Tratamiento
Brackets autoligado de baja fricción, carillas dentales de composite, blanqueamiento dental
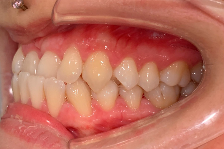
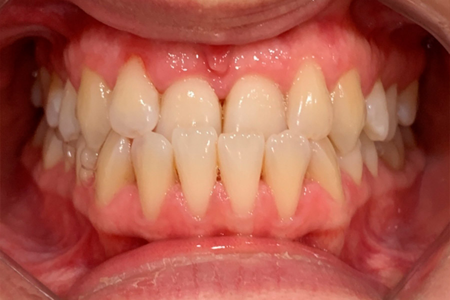
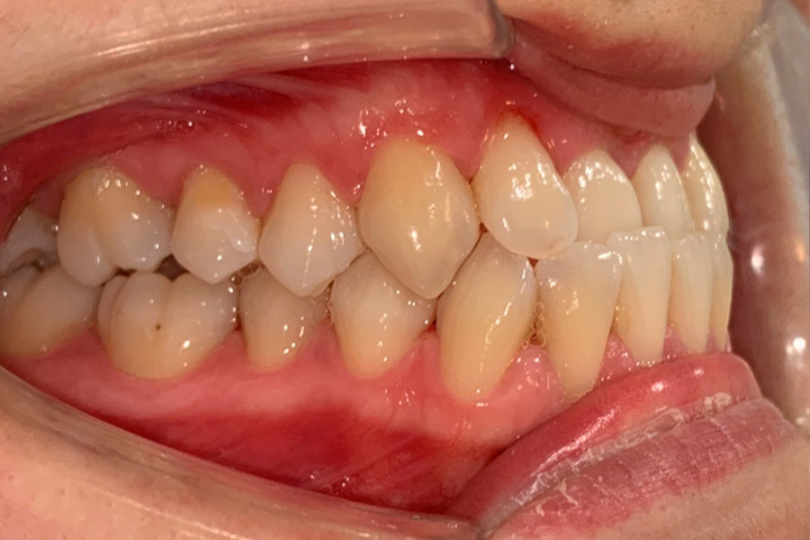
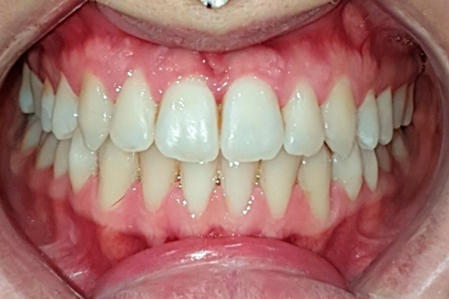
Sara es una paciente que se presentó en la clínica con un problema de mordida cruzada anterior. Gracias a la ortodoncia con brackets, se ha corregido, y ha recuperado la funcionalidad de su boca.


ANTES
DESPUÉS
Ventajas de elegir Raga Ortodoncia
- Más de 50 años dedicados al mundo de la ortodoncia
- Enfoque multidisciplinar de los tratamientos
- Tecnología de vanguardia y aparatología dental de última generación
- Somos la clínica mejor valorada de toda Valencia