Caso Clínico - Brackets

Paciente
Adulto
Duración
20 meses
Tratamiento
Brackets autoligado de baja fricción, carillas dentales de composite, blanqueamiento dental
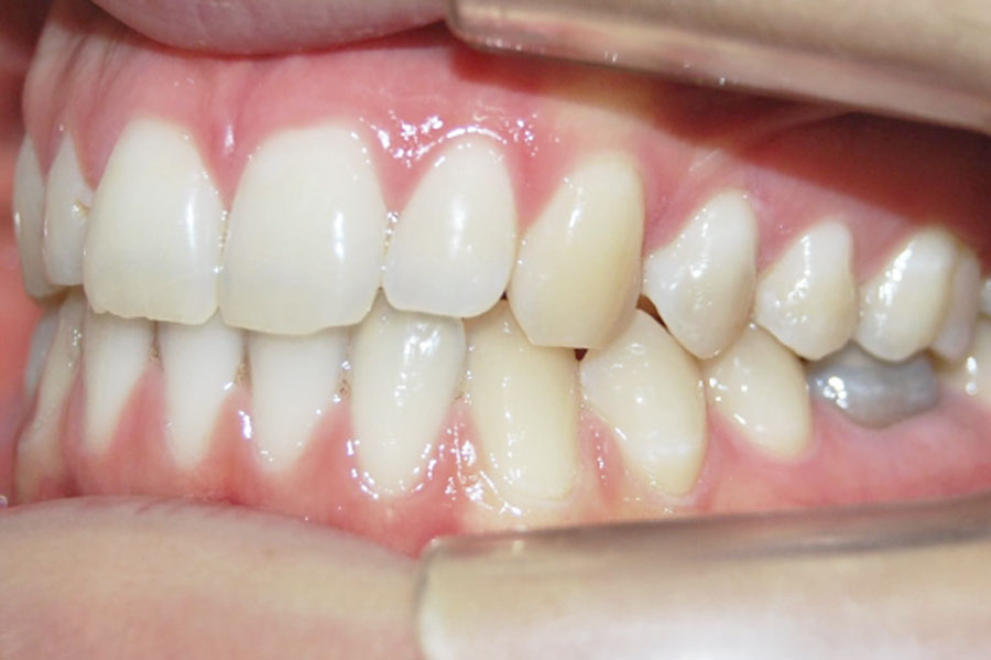
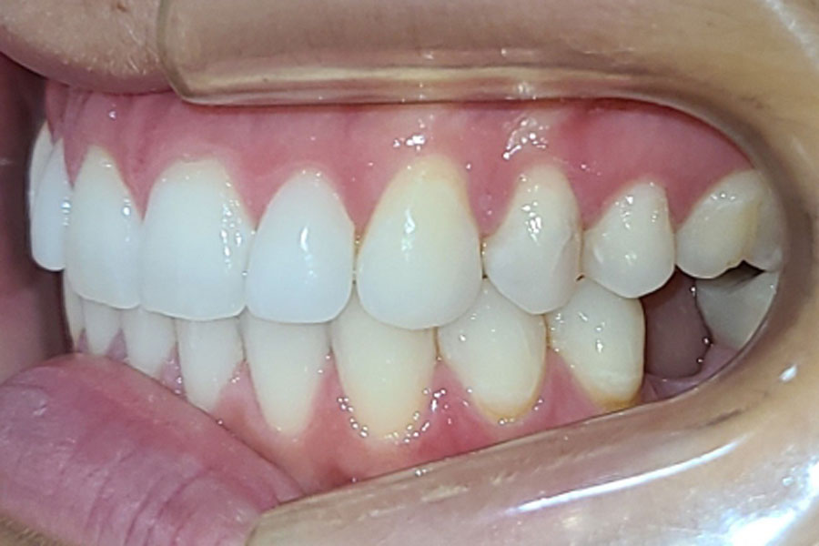
Paloma es una paciente de 23 años a la que se le ha realizado un tratamiento de ortodoncia con brackets. Posteriormente, se ha cumplimentado con carillas de composite de alta estética en 12 y 22 y un blanqueamiento dental.


ANTES
DESPUÉS
Ventajas de elegir Raga Ortodoncia
- Más de 50 años dedicados al mundo de la ortodoncia
- Enfoque multidisciplinar de los tratamientos
- Tecnología de vanguardia y aparatología dental de última generación
- Somos la clínica mejor valorada de toda Valencia