Caso Clínico - Brackets

Paciente
Adolescente
Duración
34 meses
Tratamiento
Brackets autoligado de baja fricción, carillas dentales de composite, blanqueamiento dental
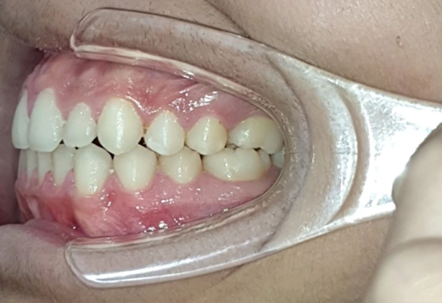
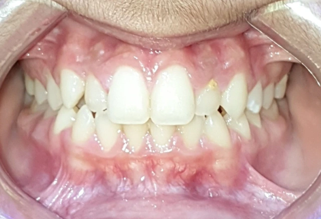
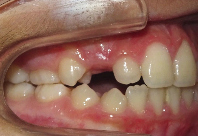
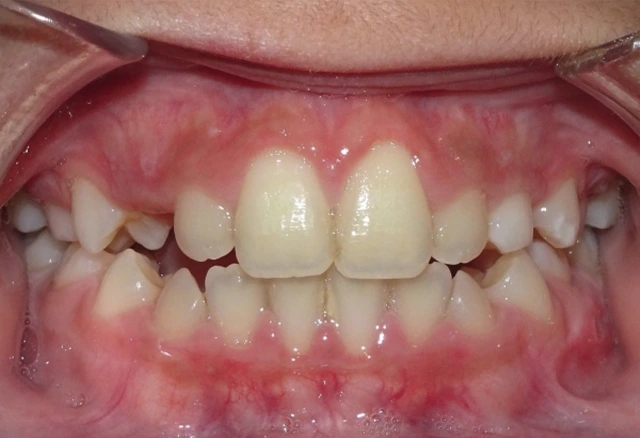
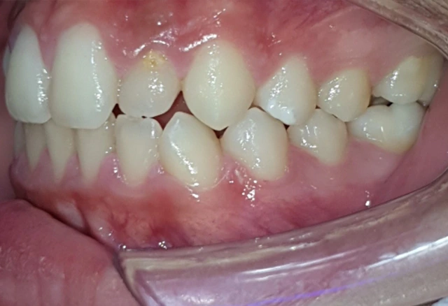
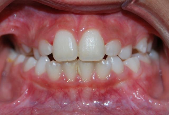
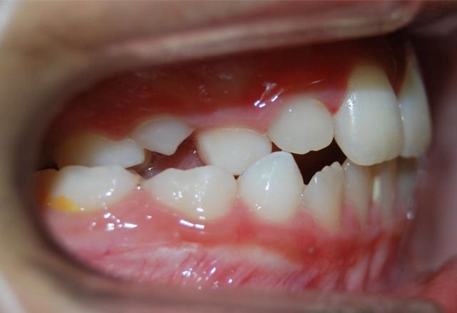
Este tratamiento se realizó en dos fases: primero, una disyunción de 12 meses para corregir el paladar estrecho, seguida de 22 meses de ortodoncia con brackets, logrando una sonrisa espectacular tanto a nivel estético como funcional.
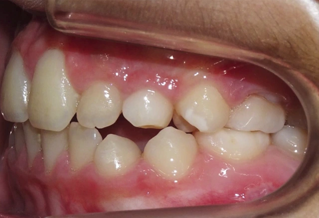
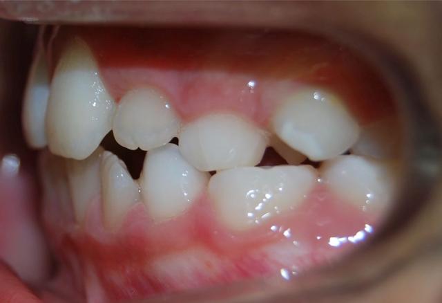
Fase 1


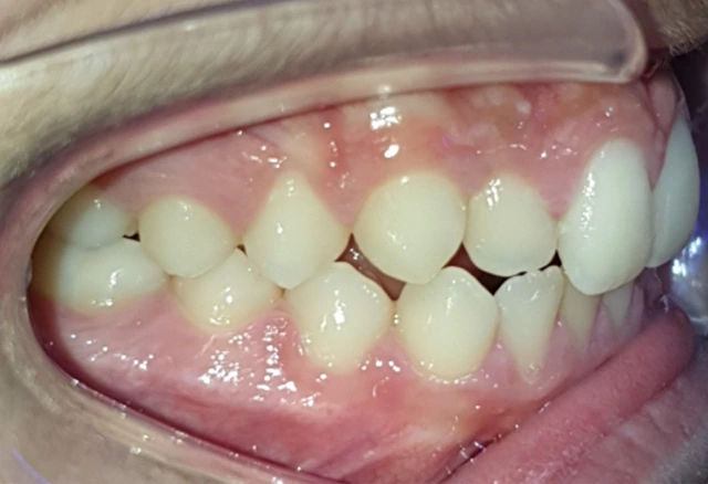
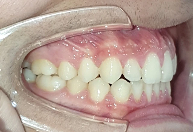
ANTES
DESPUÉS
Fase 2


ANTES
DESPUÉS
Ventajas de elegir Raga Ortodoncia
- Más de 50 años dedicados al mundo de la ortodoncia
- Enfoque multidisciplinar de los tratamientos
- Tecnología de vanguardia y aparatología dental de última generación
- Somos la clínica mejor valorada de toda Valencia