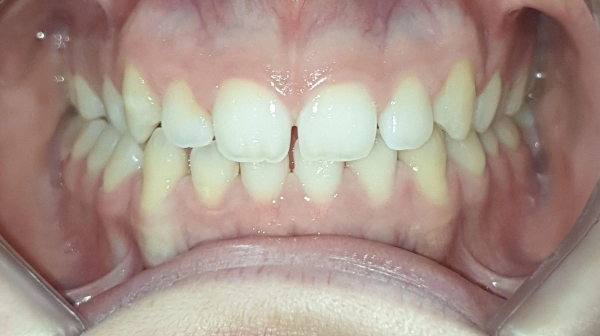
Caso Clínico - Brackets y carillas

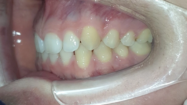
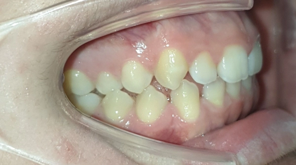
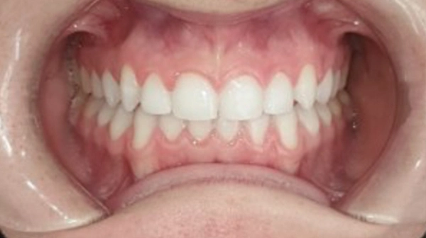
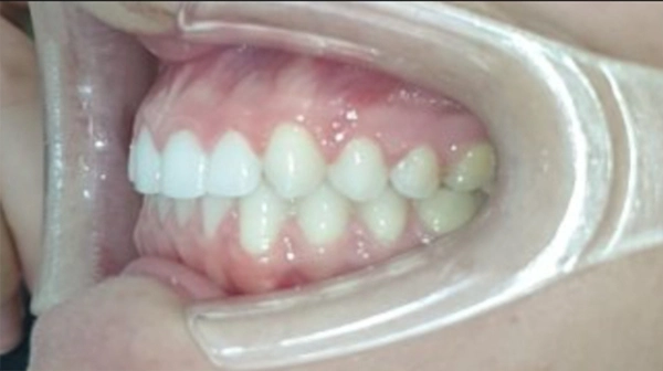
Gracias a un tratamiento multidisciplinar, Lina llevó brackets durante 20 meses y se le colocaron carillas en los 4 incisivos superiores para estrenar su nueva sonrisa.


ANTES
DESPUÉS
Ventajas de elegir Raga Ortodoncia
- Más de 50 años dedicados al mundo de la ortodoncia
- Enfoque multidisciplinar de los tratamientos
- Tecnología de vanguardia y aparatología dental de última generación
- Somos la clínica mejor valorada de toda Valencia