La Odontología en general está en constante evolución, numerosos aparatos y dispositivos han ido revolucionando los distintos campos de la Odontología, entre ellos la Ortodoncia. Uno de los dispositivos que hoy día está siendo muy utilizado en los tratamientos de Ortodoncia es el Carriere. Es por ello que hoy te queremos contar todo sobre este dispositivo que ofrece óptimos resultados principalmente en pacientes con maloclusiones Clase II.
¿Qué es un Carriere?
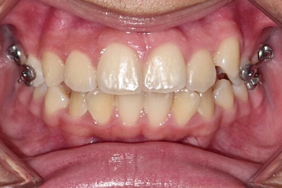
Es un distalizador o aparato de ligado directo que se une al canino maxilar y primer molar permanente para conseguir convertir casos complejos de Clase II en Clase I. El éxito de este distalizador es que evita tener que realizar extracciones dentales y que al no existir fuerzas opuestas durante su uso, el objetivo del tratamiento se puede lograr en tres o cuatro meses.
El nombre de este dispositivo, viene de su creador. Fue diseñado por el Dr. Luis Carriere. El Dr. Carriere fue el ganador del prestigioso premio «Joseph E. Johnson» y el Premio Internacional de Diseño Delta Gold ADI-FAD 2009 por su «Carriere distalizer MB». Como profesor invitado de varios departamentos de Ortodoncia en todo el mundo, el Dr. Carriere imparte conferencias internacionalmente cuando no está tratando pacientes en su práctica privada en Barcelona, España.
La base molar está hecha de acero inoxidable y contiene 2-5% de níquel. El brazo del dispositivo está elaborado de un polímero de grado médico avanzado. Para conseguir la distalización se emplean elásticos de Fuerza 1 y Fuerza 2, que se van cambiando cada 8 horas dependiendo de cada caso. El Carriere puede ser metálico o estético.
¿En que tipos de casos está indicado el distalizador Carriere?
- Clase I con apiñamiento.
- Clase II, Div 1 y Div 2.
- Clase II, mordida abierta.
- Clase II, mordida profunda.
- Clase II, con caninos superiores bloqueados.
- Clase II, unilateral.
- Dentición mixta, durante la Fase 1 de Ortodoncia.
Las ventajas de utilizar Carriere en dentición mixta es que permite la corrección de asimetrías, vía aérea mejorada, ayuda a corregir malos hábitos, previene el apiñamiento y las impactaciones, trata el desarrollo de problemas esqueléticos.
El dispositivo Carriere Clase II está contraindicado en pacientes con micrognatia y problemas periodontales.
En el siguiente caso clínico podemos demostrar la eficacia del dispositivo carriere, que tan sólo en tres meses de tratamiento se pudo corregir la Clase II que presentaba nuestra paciente de 12 años. Durante la adolescencia utilizamos el crecimiento a nuestro favor para poder corregir maloclusiones de una manera más rápida y efectiva.

¿Qué tipo de corrección consigue el dispositivo Carriere?
Con el uso de Carriere se pueden conseguir correcciones tanto a nivel dental como esquelético. Este dispositivo crea cambios en los tres planos del espacio. En los casos de pacientes jóvenes que aun están en crecimiento el cambio a nivel esquelético es mucho más fácil y notable que en pacientes adultos, los cuales verán mayormente corrección dental con un cambio de perfil debido al reposicionamiento del cóndilo.
Siempre es importante tener en cuenta que un correcto diagnóstico es el que podrá determinar el éxito del tratamiento, gracias al empleo adecuado de estos dispositivos.
¿Cómo funciona el Carriere?
- Es colocado en la arcada superior y requiere de un sólido anclaje en la arcada inferior para evitar la protrusión de los dientes inferiores durante la distalización.
- Gira y endereza los primeros molares superiores.
- Distaliza el segmento posterior, de canino a molares, consiguiendo una oclusión perfecta.
- El movimiento distal molar se consigue a través de fuerzas suaves y uniformes, mediante el uso de elásticos.
- Consigue correcciones de Clase II tanto simétricas como asimétricas, evitando extracciones dentales.
En Raga Ortodoncia Valencia siempre vamos a la vanguardia con las nuevas tecnologías y avances en el campo de la Ortodoncia, es por ello que utilizamos Carriere en nuestros pacientes Clase II, consiguiendo mejores resultados y acortando los tiempos de tratamiento ¡Contáctanos!
