Cada vez vemos con más frecuencia en la consulta dental pacientes preocupados por su mordida. Las maloclusiones dentales deben ser tratadas siempre, ya que conllevan a lo largo del tiempo, problemas en el desarrollo óseo y dental, inconvenientes en el habla y la masticación y por supuesto ocasionan problemas a nivel estético. Hoy te vamos a hablar sobre una de las maloclusiones más frecuente, la mordida abierta.
La mordida abierta se caracteriza por la imposibilidad de contacto dentario, que puede afectar tanto al sector anterior como al posterior.
Causas de la mordida abierta
La mayoría de las maloclusiones son originadas por múltiples factores, que de alguna manera inciden para que el paciente no ocluya adecuadamente. En el caso de la mordida abierta podemos encontrar entre sus causas:
- Succión digital o uso prolongado del chupete: en edades tempranas debemos erradicar estos hábitos orales. Si el niño continua haciéndolo cuando hayan erupcionado sus dientes permanentes, se puede originar una mordida abierta. Esto se debe a que al succionar el dedo o chupete, se genera fuerza sobre el sector anterior impidiendo que los dientes ocluyan, quedando abierta la mordida.
- Deglución atípica o interposición lingual: hay pacientes que al momento de deglutir colocan la lengua entre los incisivos superiores e inferiores, en vez de colocarla sobre el paladar, qué es lo correcto. Cuando esta interposición lingual se hace frecuentemente no se consigue un correcto contacto de los dientes en el sector anterior, dando lugar a una mordida abierta.
- Problemas en el desarrollo y crecimiento óseo: las maloclusiones pueden ser de tipo dentales o de tipo esqueléticas. En esta última, la alteración oclusal se debe a problemas en el desarrollo óseo del paciente.
- Alteraciones en la ATM: la articulación temporomandibular juega un papel importante en la oclusión. Cuando el paciente presenta alteraciones en la misma, al intentar compensar el problema puede realizar movimientos mandibulares inadecuados, que afectan la oclusión.

Consecuencias originadas por una mordida abierta.
- Problemas al hablar: sobre todo en edades infantiles, una mordida abierta puede ocasionar que el niño tarde en pronunciar adecuadamente ciertas sílabas o letras.
- Masticación inadecuada de los alimentos: al presentar una maloclusión, las fuerzas masticatorias no se reparten adecuadamente entre todos los dientes, lo que genera que el bolo alimenticio no sea digerido correctamente.
- Problemas estéticos: en casos de mordidas abiertas severas, el paciente muchas veces no consigue un correcto sellado labial, pasando la mayoría del tiempo con la boca abierta. Esto afecta su aspecto y autoestima.
- La incompetencia labial producto de una mordida abierta, favorece a que el paciente se acostumbre a respirar por la boca.
¿Cómo se puede solucionar una mordida abierta?
Un correcto diagnóstico es la base para el éxito del tratamiento de cualquier tipo de maloclusión. Un especialista en Ortodoncia, mediante una exploración clínica y radiográfica podrá determinar el origen de la maloclusión y establecer cuál es el mejor plan de tratamiento.
En edades tempranas, se pueden interceptar y erradicar los malos hábitos que originan la mordida abierta. A través de una Ortopedia Dentofacial se puede corregir la posición de los dientes y alteraciones en el crecimiento óseo de los maxilares.
En adolescentes y personas adultas, las mordidas abiertas leves o moderadas pueden tratarse con Ortodoncia, ya sea con brackets o con alineadores. A través de la Ortodoncia se conseguirá el cierre de mordida y el correcto contacto interdentario entre ambos maxilares.
En casos de mordidas abiertas severas, muchas veces es necesario realizar un tratamiento de Ortodoncia en conjunto con una Cirugía Ortognática para poder conseguir un correcto posicionamiento óseo que permita el cierre de la mordida.
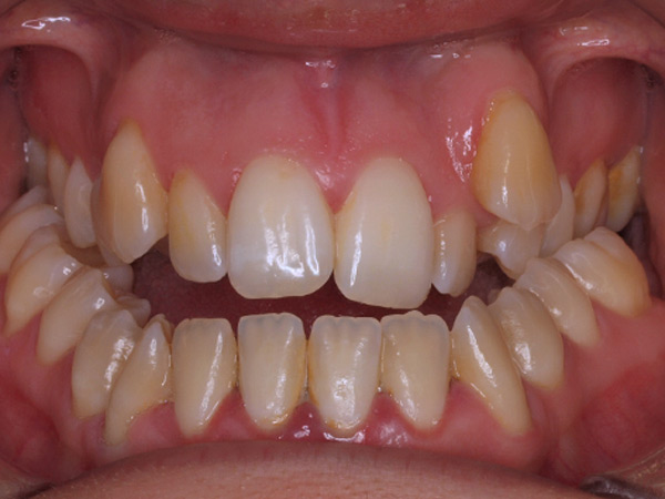
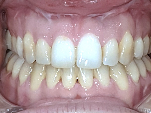
Antes y después de una paciente con mordida abierta y cruzada, que necesitó un tratamiento de Ortodoncia en conjunto con Cirugía Ortognática.
Para evitar todas estas alteraciones orales y faciales, el paciente debe tratarse la mordida abierta en edades tempranas. Es por ello que en Raga Ortodoncia Valencia ofrecemos un diagnóstico especializado a partir de los 6 años para poder detectar a tiempo cualquier maloclusión dental. En caso de personas adultas, también ofrecemos las mejores opciones de tratamientos ¡Contáctanos!


