Caso Clínico - Ortopedia y ortodoncia

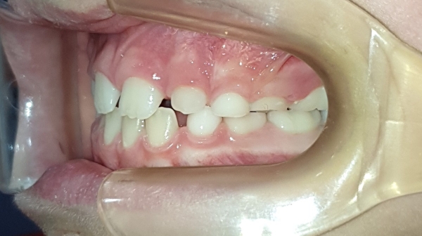
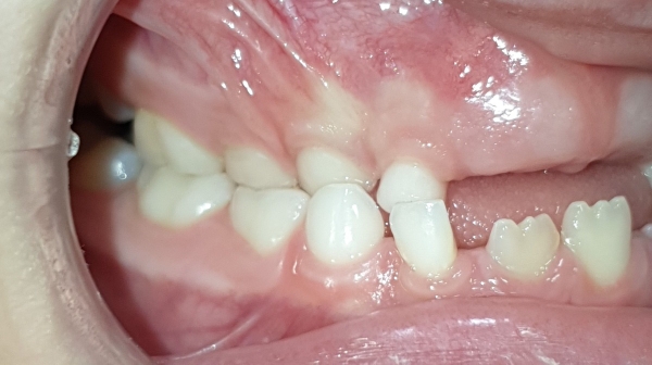
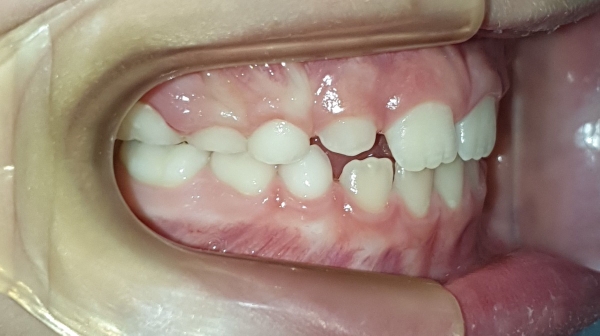
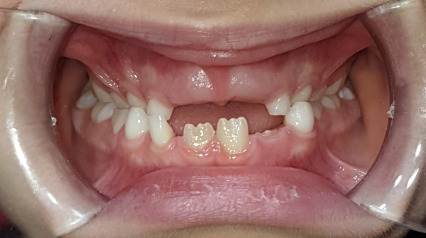
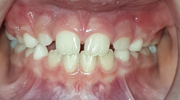
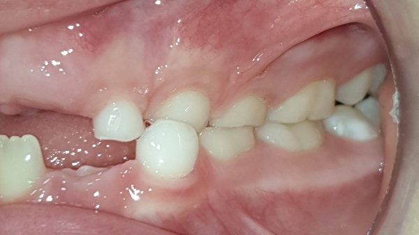
Matheo es un paciente que ha terminado su primera fase de ortodoncia. Mediante una ortopedia dentofacial, se le ha colocado un disyuntor de paladar para aumentar la longitud de la arcada superior y ganar espacio.


ANTES
DESPUÉS
Ventajas de elegir Raga Ortodoncia
- Más de 50 años dedicados al mundo de la ortodoncia
- Enfoque multidisciplinar de los tratamientos
- Tecnología de vanguardia y aparatología dental de última generación
- Somos la clínica mejor valorada de toda Valencia