Caso Clínico - Invisalign Teen

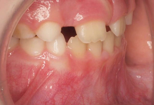
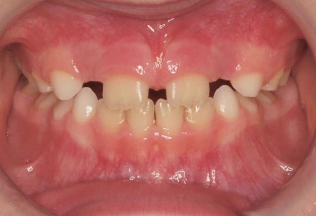
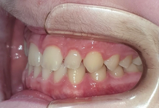
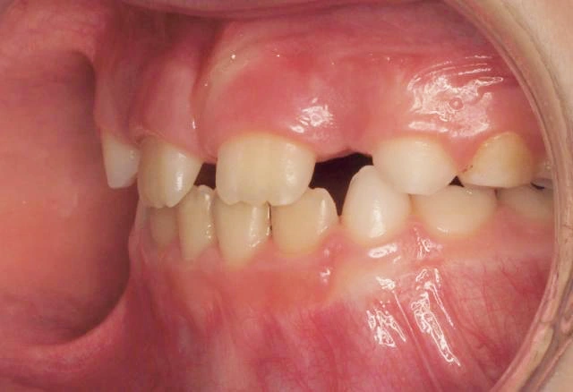
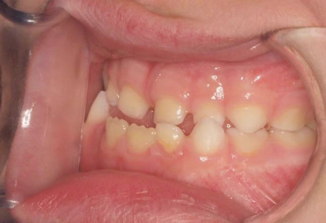
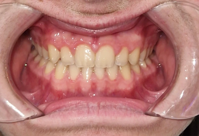
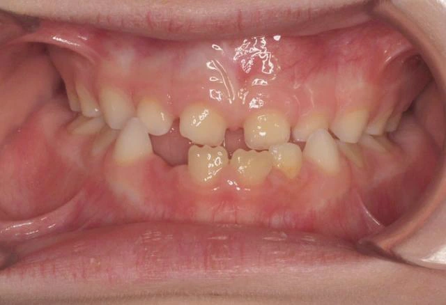
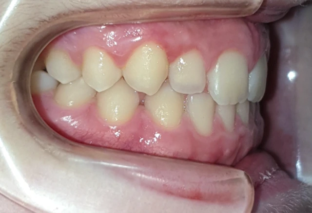
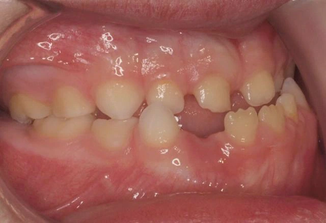
Javier es un paciente que ha necesitado un tratamiento de ortodoncia en 2 fases para corregir la mordida cruzada anterior y mejorar su sonrisa.
La 1ª fase se inició con un aparato de disyunción fija con máscara facial con el que se corrigieron los problemas de mordida cruzada anterior. Tras 18 meses de tratamiento, comenzamos la 2ª fase con ortodoncia con brackets que duró otros 18 meses. Así conseguimos una correcta alineación de los dientes y una sonrisa perfecta.
Fase 1


ANTES
DESPUÉS
Fase 2


Ventajas de elegir Raga Ortodoncia
- Más de 50 años dedicados al mundo de la ortodoncia
- Enfoque multidisciplinar de los tratamientos
- Tecnología de vanguardia y aparatología dental de última generación
- Somos la clínica mejor valorada de toda Valencia